Atypical polypoid adenomyoma
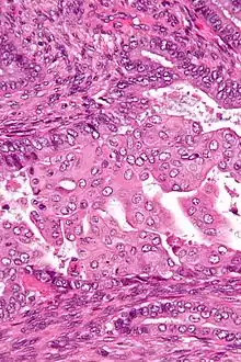
Micrograph of an atypical polypoid adenomyoma. H&E stain.
SpecialtyPathology

Atypical polypoid adenomyoma (APA) is a rare benign tumour of the uterus.[1]

Pathology

APAs are characterized by glands with abnormal shapes that: (1) often have squamous metaplasia, and (2) are surrounded by benign smooth muscle.[1] Nuclear atypia, if present, is mild.

The microscopic differential diagnosis includes endometrial carcinoma and endocervical adenocarcinoma.

See also

References

  1. 1 2 Jakus, S.; Edmonds, P.; Dunton, C.; Holland, G. (Jan 2002). "Atypical polypoid adenomyoma mimicking cervical adenocarcinoma". J Low Genit Tract Dis. 6 (1): 33–8. doi:10.1046/j.1526-0976.2002.61007.x. PMID 17050990. S2CID 22702788.


This article is issued from Wikipedia. The text is licensed under Creative Commons - Attribution - Sharealike. Additional terms may apply for the media files.