| Bowenoid papulosis | |
|---|---|
![]() | |
| Specialty | Dermatology |
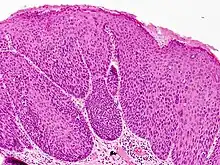
Bowenoid papulosis is a cutaneous condition characterized by the presence of pigmented verrucous papules on the body of the penis.[1]: 730 [2]: 408 They are associated with human papillomavirus, the causative agent of genital warts.[3] The lesions have a typical dysplastic histology and are generally considered benign, although a small percentage will develop malignant characteristics.
It is considered as a pre-malignant condition. Other terms used to describe the condition are: Erythroplasia of Queyrat, Squamous cell carcinoma in situ and Bowen's disease. The term bowenoid papulosis was coined in 1977 by Kopf and Bart and is named after dermatologist John Templeton Bowen.[4][5][6] The term "intraepithelial neoplasia" defines a premalignant intraepithelial change.
On the vulva, it is termed VIN (vulvar or vulval intraepithelial neoplasia); on the penis, PIN (penile intraepithelial neoplasia); and on or around the anus, AIN (anal intraepithelial neoplasia). The terminology has been very confusing and it is now recommended that the terms Bowen's disease, erythroplasia of Queyrat, and bowenoid papulosis should not be used for lesions in the anogenital area. However, dermatologists still recognize a distinct clinical variant, bowenoid papulosis, characterized by discrete papules in a younger age group and a tendency for spontaneous regression. Additionally, some authorities believe that erythroplasia of Queyrat and Bowen's disease remain useful terms in men.
See also
References
- ↑ Freedberg, et al. (2003). Fitzpatrick's Dermatology in General Medicine. (6th ed.). McGraw-Hill. ISBN 0-07-138076-0.
- ↑ James, William D.; Berger, Timothy G.; et al. (2006). Andrews' Diseases of the Skin: clinical Dermatology. Saunders Elsevier. ISBN 978-0-7216-2921-6.
- ↑ Goorney BP, Polori R (December 2004). "A case of bowenoid papulosis of the penis successfully treated with topical imiquimod cream 5%". Int J STD AIDS. 15 (12): 833–5. doi:10.1258/0956462042563774. PMID 15601490. S2CID 22765485.
- ↑ synd/3996 at Who Named It?
- ↑ Kopf AW, Bart RS (1977). "Tumor conference No. 11: multiple bowenoid papules of the penis: a new entity?". The Journal of Dermatologic Surgery and Oncology. 3 (3): 265–9. doi:10.1111/j.1524-4725.1977.tb00289.x. PMID 874134.
- ↑ Wade TR, Kopf AW, Ackerman AB (October 1978). "Bowenoid papulosis of the penis". Cancer. 42 (4): 1890–903. doi:10.1002/1097-0142(197810)42:4<1890::AID-CNCR2820420430>3.0.CO;2-C. PMID 361215.
External links
