CALB2
Identifiers
AliasesCALB2, CAB29, CAL2, CR, calbindin 2
External IDsOMIM: 114051 MGI: 101914 HomoloGene: 1318 GeneCards: CALB2
Orthologs
SpeciesHumanMouse
Entrez

794

12308

Ensembl

ENSG00000172137
ENSG00000282830

ENSMUSG00000003657

UniProt

P22676

Q08331

RefSeq (mRNA)

NM_001740
NM_007087
NM_007088

NM_007586
NM_001368293
NM_001368294

RefSeq (protein)

NP_001731
NP_009019

NP_031612
NP_001355222
NP_001355223

Location (UCSC)Chr 16: 71.36 – 71.39 MbChr 8: 110.86 – 110.89 Mb
PubMed search[3][4]
Wikidata
View/Edit HumanView/Edit Mouse
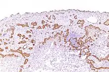
Micrograph of a malignant epithelioid mesothelioma stained with an antibody against calretinin.

Calretinin, also known as calbindin 2 (formerly 29 kDa calbindin), is a calcium-binding protein involved in calcium signaling.[5] In humans, the calretinin protein is encoded by the CALB2 gene.[6][7]

Function

This gene encodes an intracellular calcium-binding protein belonging to the troponin C superfamily. Members of this protein family have six EF-hand domains which bind calcium. This protein plays a role in diverse cellular functions, including message targeting and intracellular calcium buffering.[6]

Calretinin is abundantly expressed in neurons including retina (which gave it the name)[5] and cortical interneurons.[8] Expression was found in different neurons than that of the similar vitamin D-dependent calcium-binding protein, calbindin-28kDa.[5]

Calretinin has an important role as a modulator of neuronal excitability including the induction of long-term potentiation.[9] Loss of expression of calretinin in hippocampal interneurons has been suggested to be relevant in temporal lobe epilepsy.[10]

It is expressed in a number of other locations including hair follicles.[11]

Clinical significance

Calretinin is a diagnostic marker for some human diseases, including Hirschsprung disease and some cancers.

Mesothelioma

Using immunohistochemistry, calretinin can be demonstrated in both benign mesothelium and in malignant mesothelioma[12][13] and can be used to help differentiate different lung tumours.[14] Antibodies to calretinin can also be used to distinguish between different types of brain tumour, demonstrating only those with neuronal rather than glial, differentiation.[15] Furthermore, the essential function of calretinin in mesothelioma cell lines has been demonstrated in vitro and may be an interesting target for therapeutical approaches.[16]

Hirschsprung disease

In Hirschsprung disease, calretinin immunohistochemistry offers additional diagnostic value in specimens with inadequate amount of submucosa and rarely seen ganglion cells. The presence of ganglion cells consistently correlated with calretinin-positive thin nerve fibrils in the lamina propria, muscularis mucosae and superficial submucosa. These calretinin-positive thin neurofibrils are absent in the aganglionic segments of bowel and in the areas without ganglion cells from the junction of normal with diseased rectum. Calretinin is strongly expressed in the submucosal and subserosal nerve trunks in the ganglionic segment. No calretinin expression is seen in the nerve trunks in the rest of the aganglionic segment. It has faint expression in the thick nerve trunks from the areas without ganglion cells. Faint positivity of the thick submucosal and subserosal nerves in the absence of ganglion cells and calretinin positive nerve fibrils, is characteristic of the junction of the aganglionic-to-normal rectum.[17]

References

  1. 1 2 3 ENSG00000282830 GRCh38: Ensembl release 89: ENSG00000172137, ENSG00000282830 - Ensembl, May 2017
  2. 1 2 3 GRCm38: Ensembl release 89: ENSMUSG00000003657 - Ensembl, May 2017
  3. "Human PubMed Reference:". National Center for Biotechnology Information, U.S. National Library of Medicine.
  4. "Mouse PubMed Reference:". National Center for Biotechnology Information, U.S. National Library of Medicine.
  5. 1 2 3 Rogers JH (1987). "Calretinin: a gene for a novel calcium-binding protein expressed principally in neurons". J Cell Biol. 105 (3): 1343–53. doi:10.1083/jcb.105.3.1343. PMC 2114790. PMID 3654755.
  6. 1 2 "Entrez Gene: calbindin 2".
  7. Parmentier M, Passage E, Vassart G, Mattei MG (1991). "The human calbindin D28k (CALB1) and calretinin (CALB2) genes are located at 8q21.3----q22.1 and 16q22----q23, respectively, suggesting a common duplication with the carbonic anhydrase isozyme loci". Cytogenetics and Cell Genetics. 57 (1): 41–3. doi:10.1159/000133111. PMID 1906795.
  8. Barinka F, Druga R (2010). "Calretinin expression in the mammalian neocortex: a review". Physiol Res. 59 (5): 665–77. doi:10.33549/physiolres.931930. PMID 20406030.
  9. Camp AJ, Wijesinghe R (2009). "Calretinin: modulator of neuronal excitability". Int J Biochem Cell Biol. 41 (11): 2118–21. doi:10.1016/j.biocel.2009.05.007. PMID 19450707.
  10. Tóth K, Maglóczky Z (2014). "The vulnerability of calretinin-containing hippocampal interneurons to temporal lobe epilepsy". Front Neuroanat. 8: 100. doi:10.3389/fnana.2014.00100. PMC 4179514. PMID 25324731.
  11. Poblet E, Jimenez F, de Cabo C, Prieto-Martin A, Sánchez-Prieto R (Jun 2005). "The calcium-binding protein calretinin is a marker of the companion cell layer of the human hair follicle". The British Journal of Dermatology. 152 (6): 1316–20. doi:10.1111/j.1365-2133.2005.06603.x. PMID 15948999. S2CID 23551756.
  12. Saydan N, Salicio V, Cappelli-Gotzos B, Gotzos V (2001). "Expression of calretinin in human mesothelioma cell lines and cell cycle analysis by flow cytometry". Anticancer Research. 21 (1A): 181–8. PMID 11299732.
  13. Gotzos, V.; Vogt, P.; Celio, M. R. (1996-02-01). "The calcium binding protein calretinin is a selective marker for malignant pleural mesotheliomas of the epithelial type". Pathology, Research and Practice. 192 (2): 137–147. doi:10.1016/S0344-0338(96)80208-1. ISSN 0344-0338. PMID 8692714.
  14. Marchevsky AM (Mar 2008). "Application of immunohistochemistry to the diagnosis of malignant mesothelioma". Archives of Pathology & Laboratory Medicine. 132 (3): 397–401. doi:10.5858/2008-132-397-AOITTD. PMID 18318582.
  15. Leong, Anthony S-Y; Cooper, Kumarason; Leong, F Joel W-M (2003). Manual of Diagnostic Cytology (2 ed.). Greenwich Medical Media, Ltd. pp. 45–46. ISBN 978-1-84110-100-2.
  16. Blum, Walter; Schwaller, Beat (2013-11-01). "Calretinin is essential for mesothelioma cell growth/survival in vitro: a potential new target for malignant mesothelioma therapy?" (PDF). International Journal of Cancer. 133 (9): 2077–2088. doi:10.1002/ijc.28218. ISSN 1097-0215. PMID 23595591. S2CID 25380668.
  17. Alexandrescu S, Rosenberg H, Tatevian N (2013). "Role of calretinin immunohistochemical stain in evaluation of Hirschsprung disease: an institutional experience". International Journal of Clinical and Experimental Pathology. 6 (12): 2955–61. PMC 3843278. PMID 24294384.

Further reading

This article incorporates text from the United States National Library of Medicine, which is in the public domain.

This article is issued from Wikipedia. The text is licensed under Creative Commons - Attribution - Sharealike. Additional terms may apply for the media files.