

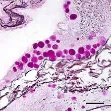
Corpora amylacea (CA) (from the Latin meaning "starch-like bodies;" also known as wasteosomes[1]) is a general term for small hyaline masses found in the prostate gland,[2] nervous system,[3] lung,[2] and sometimes in other organs of the body.[4] Corpora amylacea increase in number and size with advancing age,[4][5] although this increase varies from person to person.[4] In the nervous system, they are particularly abundant in certain neurodegenerative diseases.[3] While their significance is largely unknown, some researchers have suggested that corpora amylacea play a role in the clearance of debris.[2][4]
The composition and appearance of corpora amylacea can differ in different organs.[4] In the prostate gland, where they are also known as prostatic concretions, corpora amylacea are rich in aggregated protein that has many of the features of amyloid, whereas those in the central nervous system are generally smaller and do not contain amyloid.[4] Corpora amylacea in the central nervous system occur in the foot processes of astrocytes, and they are usually present beneath the pia mater, in the tissues surrounding the ventricles, and around blood vessels.[3] They have been proposed to be part of a family of polyglucosan diseases, in which polymers of glucose collect to form abnormal structures known as polyglucosan bodies.[4] Polyglucosan bodies bearing at least partial resemblance to human corpora amylacea have been observed in various nonhuman species.[4]

References
- ↑ Riba M, Campo-Sabariz J, Tena I, Molina-Porcel L, Ximelis T, Calvo M, et al. (October 2022). "Wasteosomes (corpora amylacea) of human brain can be phagocytosed and digested by macrophages". Cell & Bioscience. 12 (1): 177. doi:10.1186/s13578-022-00915-2. PMC 9617366. PMID 36307854.
- 1 2 3 Röcken C, Linke RP, Saeger W (October 1996). "Corpora amylacea in the lung, prostate and uterus. A comparative and immunohistochemical study". Pathology, Research and Practice. 192 (10): 998–1006. doi:10.1016/S0344-0338(96)80041-0. PMID 8958549.
- 1 2 3 Augé E, Cabezón I, Pelegrí C, Vilaplana J (February 2017). "New perspectives on corpora amylacea in the human brain". Scientific Reports. 7: 41807. Bibcode:2017NatSR...741807A. doi:10.1038/srep41807. PMC 5290524. PMID 28155917.
- 1 2 3 4 5 6 7 8 Cavanagh JB (April 1999). "Corpora-amylacea and the family of polyglucosan diseases". Brain Research. Brain Research Reviews. 29 (2–3): 265–295. doi:10.1016/S0165-0173(99)00003-X. PMID 10209236. S2CID 24609073.
- ↑ Augé E, Bechmann I, Llor N, Vilaplana J, Krueger M, Pelegrí C (February 2019). "Corpora amylacea in human hippocampal brain tissue are intracellular bodies that exhibit a homogeneous distribution of neo-epitopes". Scientific Reports. 9 (1): 2063. Bibcode:2019NatSR...9.2063A. doi:10.1038/s41598-018-38010-7. PMC 6375970. PMID 30765834.