| Granulomatous prostatitis | |
|---|---|
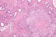
![]() | |
| Micrograph showing a granulomatous prostatitis due to BCG treatment for bladder cancer. H&E stain. | |
| Specialty | Urology |
Granulomatous prostatitis is an uncommon disease of the prostate, an exocrine gland of the male reproductive system.[1] It is a form of prostatitis (prostate inflammation), resulting from infection (bacterial, viral, or fungal), BCG vaccine, malacoplakia or systemic granulomatous diseases which involve the prostate.
Pathogenesis
Prostatic secretions escape into the stroma and elicit an inflammatory response.[2]
Histopathology
Noticeable destruction of Acini, surrounded by epitheloid cells, giant cells, lymphocytes, plasma cells and dense fibrosis.[2]
Mimicry of prostate cancer
Granulomatous prostatitis can be mistaken for prostate cancer, including on rectal examination, MRI and heightened PSA scores. A biopsy differentiates.[3][4][5][6]
Causes
Some 70% of cases are idiopathic. Causes may include infection and immunological links.[6]
Prevalence
One study stated prevalence in 0.44% in routine prostectomy specimens, 0.29% in needle biopsies and 0.77% of TURP, simple prostatectomy and needle biopsy.[2]
References
- ↑ "Granulomatous prostatitis". MedGen. NCBI.
- 1 2 3 Kumbar, Rajeshwari (2016). "Clinicopathological Overview of Granulomatous Prostatitis: An Appraisal". Journal of Clinical and Diagnostic Research. JCDR Research and Publications. 10 (1): EC20-3. doi:10.7860/jcdr/2016/15365.7146. ISSN 2249-782X. PMC 4740601. PMID 27014642.
- ↑ Bertelli, Elena; Zantonelli, Giulia; Cinelli, Alberto; Pastacaldi, Sandro; Agostini, Simone; Neri, Emanuele; Miele, Vittorio (23 September 2022). "Granulomatous Prostatitis, the Great Mimicker of Prostate Cancer: Can Multiparametric MRI Features Help in This Challenging Differential Diagnosis?". Diagnostics. 12 (10): 2302. doi:10.3390/diagnostics12102302. PMC 9600901. PMID 36291991.
- ↑ "Nonspecific granulomatous prostatitis".
- ↑ Luca, Luigi De; Crocetto, Felice; Barone, Biagio; Creta, Massimiliano; Pesce, Salvatore; Aveta, Achille; Campanino, Maria Raffaela; Imbimbo, Ciro; Longo, Nicola (August 2020). "Granulomatous prostatitis mimicking prostate cancer in a patient with psoriatic arthritis: a case report". Future Science OA. 6 (7): FSO591. doi:10.2144/fsoa-2020-0031. PMC 7421716. PMID 32802396.
- 1 2 Hulman, Geoffrey (25 January 2023). "Granulomatous Prostatitis - Pathology mini tutorial". YouTube.
