Pancreatic mucinous cystadenoma is a tumour of pancreas.[1] It may be benign or be associated with an invasive carcinoma component.[1]
Pathology
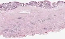
Microscopy
Mucinous cystadenoma of the pancreas
Mucinous cystadenoma of the pancreas
Mucinous cystadenoma of the pancreas
Mucinous cystadenoma of the pancreas
See also
References
- 1 2 WHO Classification of Tumours Editorial Board (2019). "10. Tumours of the pancreas: Pancreatic mucinous cystic neoplasm". Digestive System Tumours. Vol. 1 (5th ed.). Lyon (France). pp. 319–321. ISBN 978-92-832-4499-8.
{{cite book}}: CS1 maint: location missing publisher (link)
This article is issued from Wikipedia. The text is licensed under Creative Commons - Attribution - Sharealike. Additional terms may apply for the media files.