| Synechococcales | |
|---|---|
![]() | |
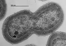
| TEM of Prochlorococcus MED4 dividing | |
| Scientific classification | |
| Domain: | Bacteria |
| Phylum: | Cyanobacteria |
| Class: | Cyanophyceae |
| Order: | Synechococcales |
| Families[1] | |
| |
The Synechococcales are an order of cyanobacteria, with over 70 genera. It includes both filamentous and single-celled types.
References
- ↑ Komárek J, Kaštovský J, Mareš J, Johansen JR (2014). "Taxonomic classification of cyanoprokaryotes (cyanobacterial genera) 2014, using a polyphasic approach" (PDF). Preslia. 86: 295–335.
This article is issued from Wikipedia. The text is licensed under Creative Commons - Attribution - Sharealike. Additional terms may apply for the media files.
