| Tuberculoid leprosy | |
|---|---|
![]() | |
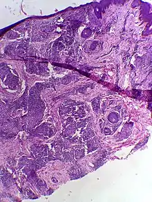
| Skin biopsy in tuberculoid leprosy showing multiple peri-appendageal granulomas. | |
| Specialty | Infectious diseases |
Tuberculoid leprosy is a form of leprosy characterized by solitary skin lesions that are asymmetrically distributed with few lesions and well demarcated edges. There is also early and marked nerve damage. It tends to heal spontaneously.[1]: 345 Tuberculoid leprosy is characterized by the formation of epithelioid cell granulomas consisting of a large number of epithelioid cells. In this form of leprosy, Mycobacterium leprae are either absent from the lesion or occur in very small numbers. This type of leprosy is the most benign and the least contagious.[2][3]
See also
References
- ↑ James, William D.; Berger, Timothy G.; et al. (2006). Andrews' Diseases of the Skin: clinical Dermatology. Saunders Elsevier. ISBN 0-7216-2921-0.
- ↑ Bhat RM, Prakash C (2012). "Leprosy: an overview of pathophysiology". Interdiscip Perspect Infect Dis. 2012: 1–6. doi:10.1155/2012/181089. PMC 3440852. PMID 22988457.
- ↑ Lastoria JC, Abreu MA (2014). "Leprosy: a review of laboratory and therapeutic aspects". An Bras Dermatol. 89 (3): 389–401. doi:10.1590/abd1806-4841.20142460. PMC 4056695. PMID 24937811.
External links
This article is issued from Wikipedia. The text is licensed under Creative Commons - Attribution - Sharealike. Additional terms may apply for the media files.
_-_1.jpg.webp)