Typical pulmonary carcinoid tumour
Other namesTypical lung carcinoid tumour, lung carcinoid, typical lung carcinoid
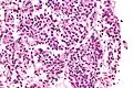
Micrograph of a typical pulmonary carcinoid tumour.
SpecialtyOncology

Typical pulmonary carcinoid tumour is a subtype of pulmonary carcinoid tumour. It is an uncommon low-grade malignant lung mass that is most often in the central airways of the lung.[1]

Signs and symptoms

Lung carcinoids typically present with a cough or hemoptysis.[2] Findings may closely mimic malignant tumours of the lung, i.e. lung cancer.

Diagnosis

CT-guided biopsy of peripheral typical carcinoid tumor

The definitive diagnosis is rendered by a microscopic examination, after excision. Typical carcinoids have cells with stippled chromatin and a moderate quantity of cytoplasm. They typically have few mitoses and lack necrosis. By definition, they are greater than 4 mm in largest dimension; smaller lesions are referred to as pulmonary carcinoid tumourlets.

The differential diagnosis of typical pulmonary carcinoid tumour includes: atypical pulmonary carcinoid tumour, pulmonary carcinoid tumourlet and lung adenocarcinoma.

Treatment

Typical carcinoids are usually treated with surgical excision.

See also

References

  1. Meisinger QC, Klein JS, Butnor KJ, Gentchos G, Leavitt BJ (November 2011). "CT features of peripheral pulmonary carcinoid tumors". AJR. American Journal of Roentgenology. 197 (5): 1073–1080. doi:10.2214/AJR.10.5954. PMID 22021498.
  2. Gungor S, Damadoglu E, Aybatli A, Yilmaz A, Kir A, Akkaya E (July 2006). "Typical pulmonary carcinoid tumors: presentation and outcome of 24 cases". Medical Science Monitor. 12 (7): CR315–CR318. PMID 16810137.
This article is issued from Wikipedia. The text is licensed under Creative Commons - Attribution - Sharealike. Additional terms may apply for the media files.